搜索
热门关键词:
杏林镇
怀远县
莲花寺
龙扬镇
龙扬
as
华佗镇
安徽
首页
建设
农村经济
干部培训
三农天地
特产展台
乡村振兴
县乡视点
乡镇论坛
要闻
法治
干部
农民风采
致富经纬
乡村旅游
魅力乡镇
农村文艺
乡镇故事
农村教育
专访
主页
>
医疗卫生
>
哈尔滨成立急诊专科医联体提升基层医疗能力
新华社哈尔滨5月26日电(记者强勇)哈尔滨市近日成立急诊专科医联体,共包含三级医院4家、二级医院17家,基本实现全市各区、县(市)全覆盖。 该医联体将充分发挥大型三甲医院优质医疗资源辐射引领作用,提升基层单位的医疗服务能力。针对急诊专科的教学、管
医疗卫生
/ 2019-05-27 08:53:07
皮肤科医师告诉你:夏季护肤要有“科学范儿”
新华社北京5月26日电(记者屈婷)日前,中国医师协会皮肤科医师分会发起了525全国护肤日暨皮肤健康公众科普系列活动,告诉你护肤也要有科学范儿! 皮肤科专家特别指出,每到夏季,有关清洁和防晒的护肤误区总是会让不少人中招。其实,只要了解皮肤背后的一些
医疗卫生
/ 2019-05-27 08:52:07
健康焦点:提高罕见病诊断水平
原标题:健康焦点:提高罕见病诊断水平 西安市儿童医院的儿童罕见病覆盖面广、就诊患儿多。该院采取多学科协作诊疗模式,由多个科室专家组成医疗组,对罕见病患儿会诊,制定个性化治疗方案。图为该院医疗组在为一名罕见病患儿进行会诊。 新华社记者 刘 潇摄
医疗卫生
/ 2019-05-25 10:58:07
泸州10岁男孩被毒蛇咬伤 医生:被咬后这样做
原标题:泸州10岁男孩被毒蛇咬伤 医生:被咬后这样做 5月19日,泸州一名10岁的男孩洋洋在家后坡玩耍时,不慎被毒蛇咬伤,家人发现后立即将他带到当地医院救治。 随后,他被紧急转到西南医科大学附属中医医院急诊科,医生看到,洋洋被咬伤的左手处于肿胀、流
医疗卫生
/ 2019-05-25 09:53:10
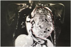
31岁妈妈胸腔内肿瘤长26厘米医生用手“摸除”
原标题:31岁妈妈胸腔内肿瘤长26厘米 医生用手摸除 肿瘤CT影像 手术中 图据四川省肿瘤医院 2019年母亲节过后的第3天,四川省肿瘤医院为一位31岁的年轻母亲摘除了一个胸腔巨大肿瘤。当完整的肿瘤组织从胸腔取出来时,现场所有医护人员都不断惊叹:该肿瘤最长
医疗卫生
/ 2019-05-25 09:49:56
重庆造“人工心脏”有望提前获批上市
在渝全国人大代表专题调研我市生物医药产业发展 重庆造人工心脏有望提前获批上市 5月22日至23日,在渝全国人大代表专题调研我市生物医药产业发展情况。在23日的专题座谈会上,记者了解到,重庆造的人工心脏有望提前获批上市。 22日,代表们分为两个小组,分
医疗卫生
/ 2019-05-24 11:24:38
国家卫健委:2018年人均住院药费较上年下降2.9%
人民网北京5月23日电 22日,国家卫健委发布《2018年我国卫生健康事业发展统计公报》(以下简称公报)显示,2018年,我国医院人均住院药费(2621.6元)比上年下降2.9个百分点,居民人均预期寿命由2017年的76.7岁提高到2018年的77岁,孕产妇死亡率从19.6/10万
医疗卫生
/ 2019-05-24 11:12:59
酷暑将至 小朋友注意 防暑降温哦
原标题:酷暑将至 昨日,重庆不少地区气温已突破30℃,夏天真的要来了。在这个季节,青少年乃至婴幼儿在健康方面要注意些什么呢?高温暴晒自然是要注意的,而由于儿童的各种学习活动和生活习惯,也注定他们有特别需要注意的地方。记者走访了重庆医科大学附属
医疗卫生
/ 2019-05-24 10:54:33
户外运动防近视 “少量多次”更有效
原标题:户外运动防近视 少量多次更有效 医学指导/广州市妇女儿童医疗中心眼科主任医师冯光强 去年底广州的调查显示,广州儿童青少年的近视率为51.73%,其中,6岁儿童已经有超过一成近视了。眼科专家表示,近年来临床发现广州儿童近视高峰期有所提前,智能手
医疗卫生
/ 2019-05-24 10:53:34
老人记性突然变差 不是老年痴呆而是脑梗
原标题:老人记性突然变差 不是老年痴呆而是脑梗 两周前,坤叔记性突然变差,常常忘记做过的事。观察了几天,家人认为他患了老年痴呆症,便带他到医院就诊。然而,经过医生确诊,造成坤叔记忆力突然变差的元凶并非痴呆,而是脑梗。 坤叔的老伴陈姨说,64岁的
医疗卫生
/ 2019-05-24 10:52:54
首页
上一页
547
548
549
下一页
末页
1
2
3
4
5
6
7
8
9
10
11
12
13
14
15
16
17
18
19
20
21
22
23
24
25
26
27
28
29
30
31
32
33
34
35
36
37
38
39
40
41
42
43
44
45
46
47
48
49
50
51
52
53
54
55
56
57
58
59
60
61
62
63
64
65
66
67
68
69
70
71
72
73
74
75
76
77
78
79
80
81
82
83
84
85
86
87
88
89
90
91
92
93
94
95
96
97
98
99
100
101
102
103
104
105
106
107
108
109
110
111
112
113
114
115
116
117
118
119
120
121
122
123
124
125
126
127
128
129
130
131
132
133
134
135
136
137
138
139
140
141
142
143
144
145
146
147
148
149
150
151
152
153
154
155
156
157
158
159
160
161
162
163
164
165
166
167
168
169
170
171
172
173
174
175
176
177
178
179
180
181
182
183
184
185
186
187
188
189
190
191
192
193
194
195
196
197
198
199
200
201
202
203
204
205
206
207
208
209
210
211
212
213
214
215
216
217
218
219
220
221
222
223
224
225
226
227
228
229
230
231
232
233
234
235
236
237
238
239
240
241
242
243
244
245
246
247
248
249
250
251
252
253
254
255
256
257
258
259
260
261
262
263
264
265
266
267
268
269
270
271
272
273
274
275
276
277
278
279
280
281
282
283
284
285
286
287
288
289
290
291
292
293
294
295
296
297
298
299
300
301
302
303
304
305
306
307
308
309
310
311
312
313
314
315
316
317
318
319
320
321
322
323
324
325
326
327
328
329
330
331
332
333
334
335
336
337
338
339
340
341
342
343
344
345
346
347
348
349
350
351
352
353
354
355
356
357
358
359
360
361
362
363
364
365
366
367
368
369
370
371
372
373
374
375
376
377
378
379
380
381
382
383
384
385
386
387
388
389
390
391
392
393
394
395
396
397
398
399
400
401
402
403
404
405
406
407
408
409
410
411
412
413
414
415
416
417
418
419
420
421
422
423
424
425
426
427
428
429
430
431
432
433
434
435
436
437
438
439
440
441
442
443
444
445
446
447
448
449
450
451
452
453
454
455
456
457
458
459
460
461
462
463
464
465
466
467
468
469
470
471
472
473
474
475
476
477
478
479
480
481
482
483
484
485
486
487
488
489
490
491
492
493
494
495
496
497
498
499
500
501
502
503
504
505
506
507
508
509
510
511
512
513
514
515
516
517
518
519
520
521
522
523
524
525
526
527
528
529
530
531
532
533
534
535
536
537
538
539
540
541
542
543
544
545
546
547
548
549
550
551
552
553
554
555
556
557
558
559
560
561
562
563
564
565
566
567
568
569
570
571
572
573
574
575
576
577
578
579
580
581
582
583
584
585
586
587
588
589
590
591
592
593
594
595
596
597
598
599
600
601
602
603
604
605
606
607
608
609
610
611
612
613
614
615
616
617
618
619
620
621
622
623
624
625
626
627
628
629
630
631
632
633
634
635
636
637
638
639
640
641
642
643
644
645
646
647
648
649
650
651
652
653
654
655
656
657
658
659
660
661
662
663
664
665
666
667
668
669
670
671
672
673
674
675
676
677
678
679
680
681
682
683
684
685
686
687
688
689
690
691
692
693
694
695
696
697
698
699
700
701
702
703
704
705
706
707
708
709
710
711
712
713
714
715
716
717
718
719
720
721
722
723
724
725
726
727
728
729
730
731
732
733
734
735
736
737
738
739
740
741
742
743
744
745
746
747
748
749
750
751
752
753
754
755
756
757
758
759
760
761
762
763
764
765
766
767
768
769
770
771
772
773
774
775
776
777
778
779
780
781
782
783
784
785
786
787
788
789
790
791
792
793
794
795
796
797
798
799
800
801
802
803
804
805
806
807
808
809
810
811
812
813
814
815
816
817
818
819
820
821
822
823
824
825
826
827
828
829
830
831
832
833
834
835
836
837
838
839
840
841
842
843
844
845
846
847
848
849
850
851
852
853
854
855
856
857
858
859
860
861
862
863
864
865
866
867
868
869
870
871
872
873
874
875
876
877
878
879
880
881
882
883
884
885
886
887
888
889
890
891
892
893
894
895
896
897
898
899
900
901
902
903
904
905
906
907
908
909
910
911
912
913
914
915
916
917
918
919
920
921
922
923
924
925
926
927
928
929
930
931
932
933
934
935
936
937
938
939
940
941
942
943
944
945
946
947
948
949
950
951
952
953
954
955
956
957
958
959
960
961
962
963
964
965
966
967
968
969
970
971
972
973
974
975
976
977
978
979
980
981
982
983
984
985
986
987
988
989
990
991
992
993
994
995
996
997
998
999
1000
1001
1002
1003
1004
1005
1006
1007
1008
1009
1010
1011
1012
1013
1014
1015
1016
1017
1018
1019
1020
1021
1022
1023
1024
1025
1026
1027
1028
1029
1030
1031
1032
1033
1034
1035
1036
1037
1038
1039
1040
1041
1042
1043
1044
1045
1046
1047
1048
1049
1050
1051
1052
1053
1054
1055
1056
1057
1058
1059
1060
1061
1062
1063
1064
1065
1066
1067
1068
1069
1070
1071
1072
1073
1074
1075
1076
1077
1078
1079
1080
1081
1082
1083
1084
1085
1086
1087
共
1087
页
10862
条
热点排行
看中医更方便 用中药更放心
1月1日起 泸州居民医保报销比例有所提高
安徽:定远县医保窗口春节假期 医保服务“不打
山东:权健青岛店停业真相
世卫组织最新推荐:六步洗手法
脊灰预防 2月龄接种是关键
安徽定远县医保局:医保三重保障制度,筑起百
四川彭州市重点场所疫情防控常态化——彭州仁
花粉过敏怎么办?预防指南来了
安徽庐江:郭河镇开展全员核酸检测工作
最火资讯
安徽凤阳:大庙镇计生协开展孕期关爱入户行动
安徽凤阳:大庙镇计生协开展“送医入村 身心同
痛到像刀割,痛风这种病为何如此难缠?
腊八粥食材怎么搭更健康?专家支招“个性养生
高考后调适,试试这几个给身心“充电”的小妙
破局基层医疗“小散弱” 四川建成首批167个县域
孩子出现“开学焦虑” 家长应提供心理帮助
安徽阜阳颍东区卫生健康系统新一轮深化“三个
陕西华州区杏林镇安排部署新冠病毒疫苗接种工
安徽古城镇检查商超、药店防疫工作
全民接种新冠病毒疫苗个人不负担费用
安徽贵池区秋江街道三联村“两癌”筛查 守护女