发布日期:2018-10-25 11:47|来源:长沙晚报|中国乡镇网
刷牙或咬苹果时牙龈出血咋回事?
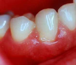
是牙周炎所致,需做洁牙治疗
长沙晚报讯(记者 杨蔚然 通讯员 谢红慧)雨花区的颜娭毑,之前牙齿都很好,昨天发现下颚有一颗牙齿松动,一舔就摇晃,于是她来到长沙市口腔医院友谊路院牙周科就诊。该科主任、主任医师吴昊为她做了检查,并诊断其患有重度牙周炎,建议先洁牙。
“牙周炎的症状,在日常生活中有很多表现。”吴昊介绍,比如:刷牙或者咬苹果时牙龈会出血,吃饭时觉得牙齿没有“力气”,使不上劲,像颜娭毑这种患牙周炎又没及时治疗的情况,牙齿就会慢慢松动、变长,牙缝变宽。很多人认为“老掉牙”是自然现象,其实不然,这是不了解牙周炎而导致的认识误区。

正确认识牙周炎,首先要了解牙齿和牙周组织的构造。牙周组织就是牙齿周边的支持组织,牙齿就好比长在土里的树,牙周组织就是提供营养和支撑的土壤,想让树茁壮成长,离不开健康的土壤和充足的营养。所以,维护牙周组织的健康与科学护牙、发挥其功能密不可分。其次,要了解引发牙周炎的罪魁祸首是牙菌斑,它会形成牙结石,从而伤害牙周组织。如果刷牙不当,口腔清洁不及时,牙齿上就容易滋生牙菌斑,堆积牙结石,引发牙周炎。
牙周炎一旦发生,其过程不可逆,因此,预防很重要。吴昊建议,祛除牙结石,正常情况下每隔半年或一年洁牙1次。控制牙周炎发展,须配合医生,积极接受牙周系统治疗并定期复诊。
上一篇:少时多运动 老来不“骨脆”
下一篇:我国每8个婴幼儿就有1个过敏